Lompat ke konten Lompat ke sidebar Lompat ke footer

40+ Hrct Scan Chest Covid 19 PNG

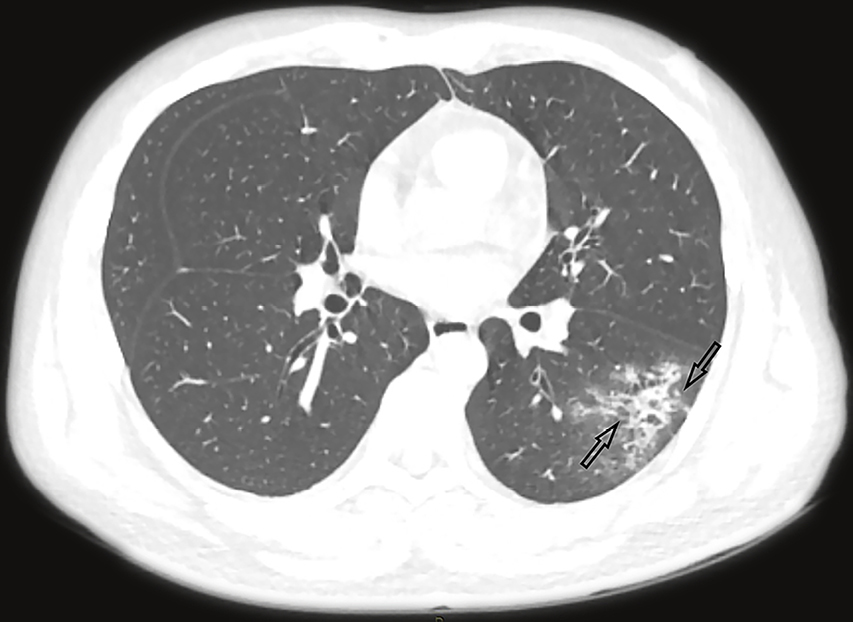
40+ Hrct Scan Chest Covid 19 PNG. Ct has a higher sensitivity but lower specificity and can play a role in the diagnosis and treatment of the disease. In an image sequence, the infection points may appear in some images and not be shown.

Maharashtra: 4-member panel to fix rates of CT scan tests ...
Maharashtra: 4-member panel to fix rates of CT scan tests ... from images.livemint.com
Several full cases are reviewed, and the basic principle behind a scoring system is discussed. In an image sequence, the infection points may appear in some images and not be shown. Limited supply of vaccines now available for eligible populations at select cvs pharmacy stores.

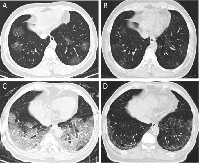
Most commonly was ggo that accounted for 120(88.9%).

The diagnostic value of high resolution computerized tomography (hrct) scan chest in corona virus disease 2019. Most commonly was ggo that accounted for 120(88.9%). Ct has a higher sensitivity but lower specificity and can play a role in the diagnosis and treatment of the disease. Several full cases are reviewed, and the basic principle behind a scoring system is discussed.

Posting Komentar untuk "40+ Hrct Scan Chest Covid 19 PNG"